XERO® Xtend and XERO® Full Fidelity
“Anywhere, anytime” access to patient images, enhanced with powerful specialty tools, and the option of diagnostic-quality image viewing
Clinicians’ access to images and tools shouldn’t be limited by their location:
Whether they need diagnostic-quality images or high-level tools for reviewing and diagnosing, clinicians shouldn’t be limited. By expanding your AGFA HealthCare XERO® Universal Viewer with XERO Full Fidelity for diagnostic review and XERO Xtend for advanced viewing capabilities, you can make sure that each clinician’s requirements are met, regardless of where they are working.
All without costly investments in high-end desktop viewing workstations and increased IT hardware.

Clinicians’ needs are not identical
- For specialists who use images primarily to support their diagnosis, or to communicate with patients:
- XERO Universal Viewer
- XERO Universal Viewer
- For specialists who use high-level imaging tools to review images and access to diagnostic quality images:
- XERO Universal Viewer
- + XERO Xtend
- + XERO Full Fidelity
Reducing IT complexity and maintenance
XERO Xtend makes it easy for IT to get the right tools to each specialist, at the right cost – reducing complexity and maintenance requirements:
- No need to roll-out expensive, high-end workstations to specialists throughout the hospital.
- No additional time spent updating all those workstations, maintaining their software, etc.
- Instead, specialists have the advanced tools they need, right from their XERO web-based universal viewer, wherever they are!
“Anywhere, anytime” image access: XERO Universal Viewer
The XERO Universal Viewer gives clinicians “anywhere, anytime” access to the patient’s holistic imaging history, so they can collaborate for timely, informed clinical decisions.
Web viewer
The zero footprint, HTML5-based web viewer uses standard internet browsers and operating systems, on desktop computers or mobile devices.
Secure access
It provides secure access to images and reports throughout a hospital or across an entire region.
Embedded into the EMR
Image content can be directly embedded into the EMR, enabling user-friendly access for everyone who needs it.
Diagnostic quality image viewing: XERO Full Fidelity
“The FDA 510(k) cleared XERO Full Fidelity gives clinicians the ability to view the original, full-quality stored images”
“The FDA 510(k) cleared XERO Full Fidelity gives clinicians the ability to view the original, full-quality stored images”
- It enables retrieval of original renditions of stored medical images on diagnostic quality monitors.
- For compatible validated mobile devices, it enables retrieval of original renditions of stored CR, DX, CT, MRI, ECG and US images.
- Users can switch between the lossy-compressed reference views and the Full Fidelity diagnostic-quality views.
- The XERO Universal Viewer can be embedded in the EMR, enabling enterprise-wide access to full-quality images.
- XERO Full Fidelity has been cleared by both the FDA and Health Canada.
XERO Full Fidelity is only validated for certain modalities and platforms. Platforms: iPad with Retina, PCs. Browsers: newest versions of almost all browsers. Ask your AGFA HealthCare sales representative for more information.
Advanced imaging capabilities: XERO Xtend
When clinicians require more than reference viewing, XERO Xtend expands the capabilities of the XERO Universal Viewer, with subspeciality tools and additional functionalities:
Powerful clinical tools
and specific hanging protocols are available via the zero-footprint clinical viewer.
Advanced viewing tool
and features are similar to some of the functionalities of a full-featured diagnostic desktop.
Specialized tools
include MIP/MPR/3D reconstructions, orthopedic measurements, breast imaging layouts and ultrasound viewing tools, enabling specialists to review studies before, during and after interventions.
Easy, live collaboration
XERO Xtend offers easy-to-use collaboration, chat and sharing functions that enhance cooperation between peers, and support multi-disciplinary communication and clinical decision-making:
- Live screen sharing allows multiple colleagues to share diagnoses and see patient images, including annotations, in real time and from any device.
- Any user can open a one-on-one chat session with colleague, without interrupting their workflow, or initiate a multidisciplinary chat with a group.
- Messages can easily be sent to larger groups.

XERO Xtend general tools and functions:
One-to-one pixel view zoom
Additional
hanging protocols
Comparison of
more than two studies
Arrow can be placed on an image, and ratios can be measured
Comprehensive set of
ROI tools, including circle, ellipse and rectangle shapes
Toggle for turning image demographics and markups on and off
XERO Xtend sub-specialty tools
XERO Xtend for MIP/MPR/3D (CT/MRI)
- Hanging protocols that automatically reconstruct CT or MRI series in the different planes
- A hanging protocol with a 3D rendered view
- Customizable reconstruction options
- Ability to set the reconstructed slice thickness
- Linking of operations such as zoom and window across all MPR views
- Default orientations
- Adaptable coloring and clipping tools for sculpting 3D volumes or creating cutplanes through the volume of interest

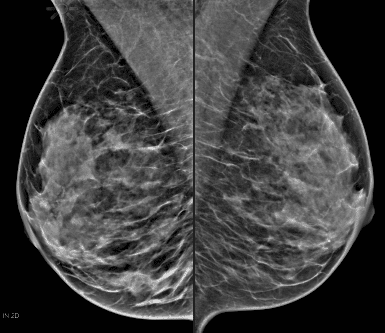
XERO Xtend for breast imaging
- Mammography hanging protocols
- Layouts including automated chest wall and breast alignment
- Optimized magnification factor
- Zoom, pan and window level interactions applied to all relevant breast images of the same view position
- Image invert of the breast only, and not the background
- Optional selection to see CAD markers (if available)
- Switching from 2D view to (synthetic) 3D view, with just a click
- Support for digital breast tomosynthesis results, with fast scrolling through image stacks

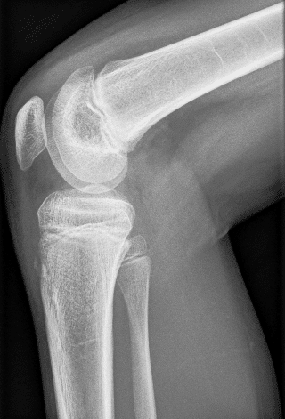
XERO Xtend for orthopedics
- Hanging protocols that automatically reconstruct CT or MRI series in the different planes
- A hanging protocol with a 3D rendered view
- Customizable reconstruction options
- Ability to set the reconstructed slice thickness

Other specialties
Dentistry:
Hanging protocols for certain dental acquisitions, such as full-mouth X-ray.
Ultrasound:
Dedicated measurement tools for echocardiograms, including LV and M-mode distance measurements.

Enable DICOM ECG viewing across the enterprise via XERO Universal Viewer
- Expand enterprise viewing to departments outside Cardiology
- Provide physicians access to view Cardiology data and ECGs from within the EHR
- DICOM 12 and 15 Lead Resting ECGs support
- Display PDF ECGs
